TexNano — real-time AI for diagnosis
We develop real-time AI tools to assist doctors in diagnosing pancreatic cancer, liver disease, and heart conditions. Our focus is on providing clinicians with reliable, instant analysis to speed up patient care.
Amrita Institute of Medical Sciences, Kochi & Amrita Vishwa Vidyapeetham, Amritapuri · Kerala
What we do
From imaging to decisions
We work across the pipeline: better models, clearer outputs, and deployment that fits the clinic.
Diagnostic AI
ML models that support accurate, interpretable diagnosis — so clinicians can trust and act on the output.
Medical language models
Models trained on medical literature to assist with clinical reasoning and documentation.
Medical imaging
Image analysis for radiology and pathology — segmentation, classification, and quality at scale.
Clinical integration
Deployment designed for existing workflows and healthcare systems.
Research
Our research work
AI for medical imaging and diagnosis — from pancreatic cancer and fatty liver to congenital heart disease and inflammatory bowel disease.
Project
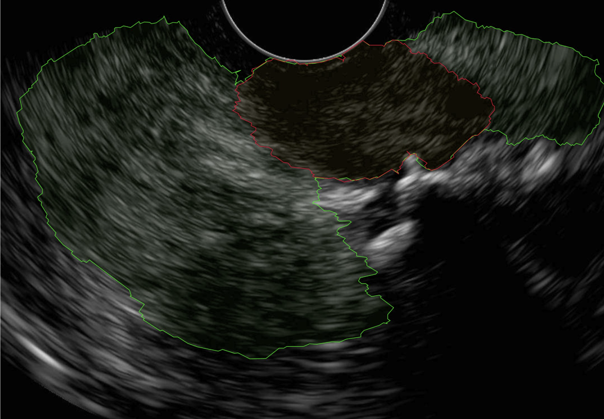
EUS-ML
Pancreatic cancer detection using Endoscopic Ultrasound (EUS).
Developed tools for pancreatic cancer detection using Endoscopic Ultrasound (EUS). The project involved Segmentation (finding the pancreas and tumor) and Classification (determining if a patient has cancer). The team utilized a dataset comprising 400+ annotated patient videos.
Cancer detection
94.12% sensitivity, 86.30% specificity, and 98.44% NPV (Negative Predictive Value).
Segmentation
70% DICE score for pancreas segmentation.
Real-time performance
EUSML-Inference App runs at ~21.28 FPS for real-time use during procedures.
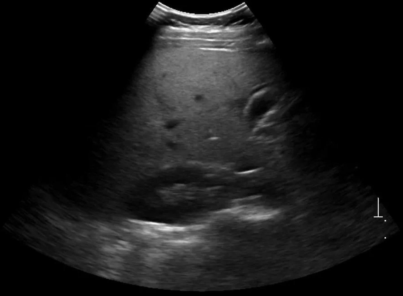
Project
Fatty-Liver Diagnosis
Differentiating fatty liver from non-fatty liver using AI and widely available ultrasound.
Focused on differentiating fatty liver from non-fatty liver by teaching AI to learn Liver Steatosis and Fibrosis scores from normal ultrasound images. The objective is to replicate the expensive "Gold Standard" Fibroscan results using widely available, cheaper ultrasound machines.
Impact
The project aims to achieve accuracy similar to Fibroscan while drastically reducing the cost of testing from ₹3,000–₹10,000 to approximately ₹600–₹800 per test, expanding access to millions.
Project
VR-Heart
3D heart visualization from CT for Congenital Heart Disease (CHD) and VR surgical consultations.
Addressed the challenge surgeons face in visualizing 2D scans as 3D structures for Congenital Heart Disease (CHD). The team used AI to automate the segmentation of the heart from CT scans (reducing manual time from 2–3 hours), allowing the heart models to be loaded into Virtual Reality for surgical consultations.
Whole heart segmentation
0.9 DICE score for whole heart segmentation (bloodpool).
Chamber and vessel segmentation
0.783 DICE score for chamber and vessel segmentation.
VR & 3D Lab
A VR and 3D Lab where surgeons perform VR consultations to gain confidence for complex surgeries.
Project
Ulcerative Colitis Diagnosis
AI to assess severity of IBD / Ulcerative Colitis and reduce reliance on biopsies.
Investigating the use of AI to diagnose the severity of Inflammatory Bowel Disease (IBD) / Ulcerative Colitis to make biopsies non-required. The goal is to predict histopathology Nancy score using AI, making the process less invasive, cheaper, and faster than the traditional workflow.
Team
Our team
Researchers and clinicians at Amrita Institute of Medical Sciences, Kochi & Amrita Vishwa Vidyapeetham, Amritapuri.

Dr. Priya Nair
Project Lead

Gilad Gressel
Research Director

Abhijit Ramesh
Lead Engineer

Gautham Krishnan
AI Engineer

Anshuman Swain
AI Engineer

Anushka Kaimal
AI Engineer

Aniketh
AI Engineer

Srisharanyan
AI Engineer
Work with us
Partnerships, funding, or joint research — we're interested. Reach out to discuss how we can collaborate.



